05.02.2026 12:34

Мужчина был одет не по погоде, поскользнулся, потерял сознание и около трёх часов пролежал на морозе.
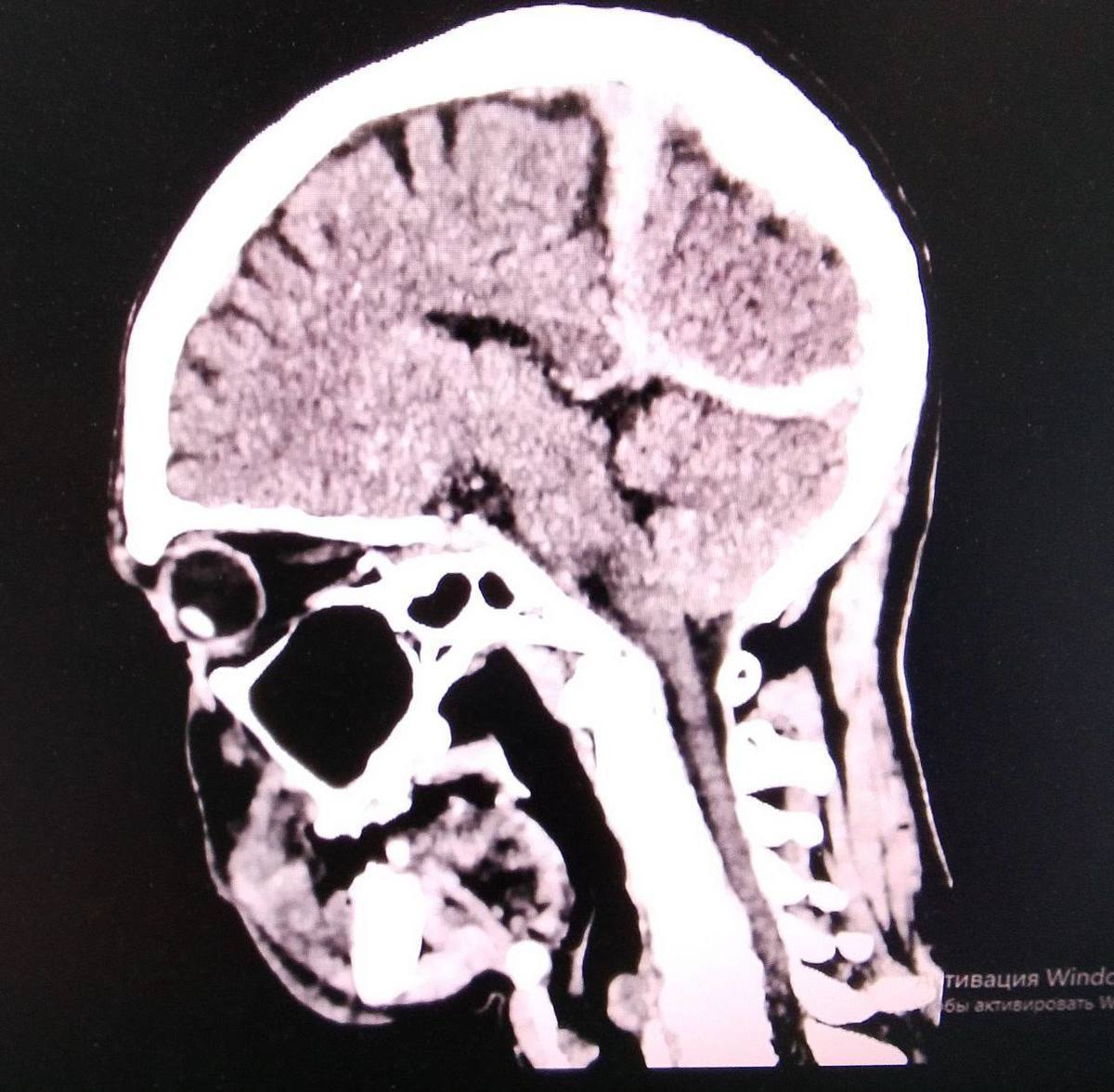
Пострадавшего случайно обнаружили местные жители и вызвали скорую помощь. Его экстренно доставили в Спасскую городскую больницу. Обследование показало субдуральную гематому, ушиб головного мозга, рану головы и выраженное переохлаждение, состояние оценивалась как тяжело. Благодаря оперативным действиям медиков мужчину удалось стабилизировать и привести в сознание. Сейчас он находится под наблюдением и проходит необходимое лечение, сообщает ТГ канал "Спасск-Дальний. Нововсти".
Врачи напоминают, что зимой особенно важно выбирать нескользкую обувь и одеваться по погоде.
Просмотров: 148
Коментариев: 0
Смотрите также:
Жители села в Спасском районе страдают он некачественной воды
Блогершу из Спасска-Дальнего арестовали на десять суток за АУЕ*
Жители села в Спасском районе страдают он некачественной воды
Блогершу из Спасска-Дальнего арестовали на десять суток за АУЕ*
Прими участие в опросе, нам важно мнение каждого! Итоги и архив голосований








